Preview

Архив педиатрии и детской хирургии

Расширенный поиск

Хирургическое лечение кистозных образований крестцово-копчиковой области у детей: клинические наблюдения

https://doi.org/10.31146/2949-4664-apps-3-1-76-84

Содержание

Перейти к:

Аннотация

Цель. В настоящей публикации представлена достаточно сложная и относительно редкая патология, диагностируемая в разный период детства и требующая хирургического вмешательства, — это кистозные образования крестцово-копчиковой области у детей.
Материалы и методы. На базе отделения общей и плановой хирургии НИИ детской хирургии ФГАУ «НМИЦ здоровья детей» Минздрава России проведено обследование и оперативное лечение детей с диагнозом «Кистозное образование крестцово-копчиковой области». Всем детям проведено оперативное лечение.
Результаты. В статье описаны три клинических наблюдения крестцово-копчиковой патологии у детей, сложности диагностики клинической и инструментальной, ее комбинированность. Обращают на себя внимание подробности и детальность действий хирурга у каждого из пациентов. Отмечены положительные результаты длительного катамнеза. Изложенный опыт диагностики, хирургического лечения крестцово-копчиковых кистозных образований у детей представляет интерес для детских хирургов, педиатров, онкологов и неонатологов.
Заключение. Кистозные образования пресакрального расположения должны своевременно выявляться и оперироваться. Дети, перенесшие в период новорожденности удаление крестцово-копчиковой тератомы, требуют обязательного диспансерного наблюдения в отдаленном послеоперационном периоде с выполнением УЗИ-контроля и МРТ крестцово-копчиковой области, наблюдения онколога. Лечение рецидивов тератомы крестцово-копчиковой области, а также кистозных образований неизвестной этиологии у детей сопряжено с риском повреждения прямой кишки и других органов и диафрагмы таза, что требует тщательного предоперационного планирования.

Для цитирования:


Щукина А.А., Окулов Е.А., Дьяконова Е.Ю., Гусев А.А., Бекин А.С., Доценко А.В. Хирургическое лечение кистозных образований крестцово-копчиковой области у детей: клинические наблюдения. Архив педиатрии и детской хирургии. 2025;3(1):77-85. https://doi.org/10.31146/2949-4664-apps-3-1-76-84

For citation:


Shchukina A.A., Okulov E.A., Diakonova E.Yu., Gusev A.A., Bekin A.S., Dotsenko A.V. Surgical treatment of cystic formations of the sacrococcygeal region in children: Clinical cases. Archives of Pediatrics and Pediatric Surgery. 2025;3(1):77-85. (In Russ.) https://doi.org/10.31146/2949-4664-apps-3-1-76-84

Введение

Кистозные образования крестцово-копчиковой области и пресакрального пространства, встречаемые как в период новорожденности, так и в более старшем возрасте, составляют одну из сложных нозологий для определения тактики оперативного лечения. К данным образованиям относятся тератомы, кисты крестцово-копчиковой области, кисты пресакрального пространства, менингоцеле, кишечные кисты.

Кистозные образования могут быть как самостоятельным изолированным диагнозом, так и составной частью синдромов, в частности синдрома Куррарино. Последний имеет гетерозиготную природу и фенотипически включает триаду симптомов: порок развития крестца, пресакральное образование и аноректальную мальформацию.

Пресакральные образования могут комбинироваться со спинномозговыми аномалиями дистальных отделов спинного мозга, а также осложняться рецидивным гнойно-воспалительным процессом.

Тератома крестцово-копчиковой области — врожденная неоплазия из группы эмбриом (организмоидных тератом), локализующаяся в крестцово-копчиковой области [1]. Врожденное новообразование области малого таза эмбриологически формируется с 4-й недели гестации в желточном мешке. Клетки желточного мешка могут покидать свое место и располагаться, трансформируясь и размножаясь, по средней линии тела эмбриона [2]. В большинстве случаев (до 90%) диагноз может быть установлен при первичном осмотре новорожденного. Объемное образование располагается в крестцово-копчиковой области, покрыто неизмененной или частично изъязвленной кожей. Могут встречаться участки истончения покрова опухоли, надрывы с истечением жидкости или кровотечением с ее поверхности [1].

Пресакральные тератомы располагаются между задней стенкой прямой кишки и передней поверхностью крестца, это можно установить при пальцевом исследовании через задний проход. При этом определяется опухолевидное образование тугоэластической или плотной консистенции на передней стенке крестца, в то время как эпителиальный копчиковый ход расположен под кожей на задней поверхности крестца и копчика. Тератомы преимущественно забрюшинного расположения могут проявиться позже клиникой сдавления прямой кишки или дизурическими симптомами [3].

В большинстве случаев диагностика крестцово-копчиковых тератом не вызывает затруднений, как правило, выполняется раннее оперативное вмешательство, заключающееся в хирургическом удалении образования в период новорожденности [2][4]. Известную трудность для диагностики представляют тератомы ККО IV типа — согласно классификации AAPSS, при которых наружный компонент опухоли полностью отсутствует [5]. Большинство тератом ведут себя как доброкачественные, в отдаленном периоде даже при отсутствии малигнизации возможен рецидив заболевания с абсцедированием. Причинами рецидива являются оставление копчиковых позвонков, неполное удаление опухоли, наличие при гистологическом исследовании очагов незрелой ткани, клеток желточного мешка, очагов малигнизации, постоянное инфицирование послеоперационной области [6].

Эпидермоидные копчиковые кисты располагаются в крестцово-копчиковой области, пальпируются под кожей и если нет воспаления, подвижны и безболезненны. Эти кисты могут нагнаиваться, и тогда создается впечатление, что это — эпителиальный ход. Но копчиковые кисты в отличие от последнего не имеют первичных отверстий [2].

Сочетание аномалии развития крестца, с пре- или ретросакральными массами (переднее менингоцеле, кишечная киста и/или пресакральная тератома) и аноректальной мальформацией выделяют как синдром Куррарино — редкий врожденный порок развития, имеющий гетерогенную природу и включающий триаду симптомов (аномалию развития крестца, пресакральное образование и аноректальную мальформацию) [7]. Пресакральные образования могут клинически не проявляться или сопровождаться задержкой стула, недержанием мочи, местными неврологическими симптомами, симптомами поражения ЦНС (тошнота и головная боль, возникающие при нагрузке и кашле) [8].

После рождения нередко первым клиническим проявлением синдрома Куррарино является нарушение отхождения кишечного содержимого в связи с наличием аноректального порока развития, например аноректального стеноза. Иногда на первый план выходят гнойные осложнения — тазовые абсцессы как результат нагноения пресакрального образования. В данных случаях хирургическая коррекция проводится с применением превентивного стомирования с последующей радикальной операцией [8]. Новорожденный ребенок с аноректальным пороком в обязательном порядке должен быть комплексно обследован на предмет сопутствующей патологии. Выявление крестцовых аномалий и пресакральных образований позволит поставить верный диагноз и определить тактику лечения [9].

В диагностике синдрома Куррарино большую роль играют различные методы визуализации, хотя нередко при УЗИ возникает сложность определения источника образования, его связь со спинномозговым каналом [10]. Отдельно встречаемые изолированные кисты пресакрального пространства достаточно редкое явление, также подлежат оперативному удалению.

Материалы и методы

Описаны три разновозрастных пациента с диагнозом «Кистозное образование крестцово-копчиковой области» и с различной клинической картиной, которые получали лечение на базе отделения общей и плановой хирургии НИИ детской хирургии ФГАУ «НМИЦ здоровья детей» Минздрава России. Всем детям проведено обследование и оперативное лечение.

Результаты

Клиническое наблюдение 1

Пациент В., мальчик, родившийся у женщины 35 лет от 2-й беременности, 2-х срочных родов. Рожден в срок, оперативным путем. При рождении масса тела — 3860 г, длина тела – 52 см. Со слов мамы, до 6 месяцев находился на грудном вскармливании. В этот период стул регулярный, самостоятельный, кашицеобразный, 1–2 раза в день. С 6 месяцев на фоне введения прикорма появились запоры. Самостоятельный стул отсутствовал, отмечалось постоянное каломазание.

Родители ребенка самостоятельно обратились в приемный покой больницы по месту жительства. Назначены очистительные клизмы. Стул получен на 3-и сутки госпитализации. Данных за острую хирургическую патологию не выявлено. На амбулаторном этапе выявлен выраженный копростаз. На фоне приема слабительных препаратов (макрогол, пикосульфат натрия) копростаз купирован.

В течение 4 месяцев ребенок наблюдался у гастроэнтеролога c предварительным диагнозом «Функциональный запор на фоне дисбиоза».

Продолжено консервативное лечение (макрогол, пикосульфат натрия, пребиотики). Стойкого положительного эффекта не получено.

Родители консультировались с детским проктологом, рекомендовано проведение очистительных клизм с «жидким парафином». В связи сохраняющимися симптомами ребенок госпитализирован в дневной стационар больницы по месту жительства для исключения аганглиоза толстой кишки, где проведено рентгеноконтрастное исследование толстой кишки с барием, на основании которого и по совокупности клинических симптомов в ходе телемедицинской консультации с ФГАУ «НМИЦ здоровья детей» МЗ РФ заподозрено наличие врожденного стеноза анального канала либо ректальная форма болезни Гиршпрунга. Рекомендовано обследование в условиях стационара.

В возрасте 1 года ребенок поступил в отделение общей и плановой хирургии ФГАУ «НМИЦ здоровья детей» МЗ РФ. При поступлении физическое развитие ребенка соответствует возрасту. Живот вздут в нижних отделах, реберный угол не расширен. Асимметрии передней брюшной стенки нет. Промежность сформирована по мужскому типу, пальпаторно копчик гипоплазирован, наружные половые органы сформированы правильно. Межъягодичная складка подчеркнута. Анус смещен кпереди, воронкообразно втянут на глубину не менее 2 см, анальный рефлекс удовлетворительный. На уровне кожно-слизистого перехода отмечено резкое сужение, непроходимое для бужа № 6. Стул был с ежедневными очистительными клизмами. Под кратковременным общим обезболиванием осуществлено бужирование расширителем Гегара № 9.

Выполнено инструментальное обследование: ретроградное рентгеноконтрастное исследование нижних отделов толстой кишки (ирригография) (рис. 1), магнитно-резонансная томография (МРТ) крестцово-копчиковой области (рис. 2), в ходе которого на основании клинической картины (хронического толстокишечного стаза), наличия аномалий строения анального канала (стеноз), а также выявленных аномалий дистальных отделов позвоночника установлен диагноз: врожденный стеноз анального канала в составе синдрома Куррарино, осложненное хроническим толстокишечным стазом, мегаректум.

Рисунок 1.

Расширенные нижние отделы толстой кишки, праворасположенная сигма. Опорожнение не получено. Рельеф складок слизистой толстой кишки не изменен. Область анального канала сужена (ирригография)

Figure 1.

Enlarged lower colon, right-angled sigma. Emptying was not received. The relief of the folds of the colon mucosa is not changed. The anal canal area is narrowed (irrigography)

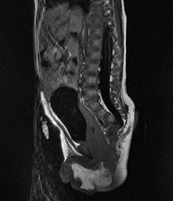
Рисунок 2.

МРТ крестцово-копчиковой области — переднее менингоцеле с множественными разнокалиберными кистами и стромальным компонентом

Figure 2.

MRI of the sacrococcygeal region — anterior meningocele with multiple cysts of different sizes and a stromal component

Учитывая выраженный грубый стеноз анального канала, расширение дистальных отелов толстой кишки первым этапом выполнено наложение петлевой колостомы на первую петлю сигмовидной кишки.

Через 4 месяца ребенок вновь госпитализирован, выполнена контрольная ирригография (рис. 3), на которой установлено нормальное расположение сигмовидной кишки с обычным возрастным диаметром кишечного просвета.

Рисунок 3.

Нормальное расположение сигмовидной кишки через
4 месяца

Figure 3.

Normal position of the sigmoid colon after 4 months (irrigography)

Далее выполнена промежностная проктопластика заднесагиттальным доступом в положении больного на животе. Коротким разрезом до начала наружного сфинктера рассечены ткани и леваторный комплекс. Прямая кишка мобилизована по задней и боковым стенкам на половину окружности кишки. По ходу выделения задней стенки от уровня внутреннего сфинктера и эндоректальной фасции выявлены плотно сросшиеся, с минимальной дифференцировкой тканей, кистозные образования, имеющие как выраженный солидный компонент, так и мелкие кисты с мутным содержимым (взят посев). Имеющие солидный компонент образования расценены как элементы пресакральной кисты и удалены (первое — без вскрытия, второе — с минимальным дефектом, через который выделилось до 10 мл казеозного вещества. Оба образования отправлены на гистологическое обследование). В ходе удаления образований по правому краю последнего позвонка отмечалось капельное выделение ликвора. Наложен Z-образный шов, после чего для герметизации использованы 2 пластины Тахокомб (рис. 4, 5). Интраоперационное наблюдение в динамике — ликвореи нет. Протяженность мобилизации кишки до 8 см.

Рисунки 4, 5.

Заднесагиттальный доступ. Удаление пресакрального образования. Мобилизация прямой кишки

Figures 4, 5.

Posterior horizontal access. Removal of presacral formation. Mobilization of the rectum

Протяженность стеноза анального канала — до 1 см. После мобилизации стенки кишки выполнено ее продольное рассечение от уровня анодермы до неизмененной стенки кишки с рассечением зоны стеноза. В этот период подтверждено наличие структур анального канала, напоминающих зубчатую линию. Наложен первый фиксирующий шов через угол разреза дистально на стенке кишки и анодерме. Далее узловыми швами стенка кишки по краю разреза практически без натяжения фиксирована к анодерме на протяжении более половины диаметра кишки. Через вновь сформированный анастомоз проходит расширитель Гегара № 14. Восстановлена целостность леваторов. Операционная рана ушита послойно узловыми швами с предварительным дренированием пресакрального пространства силиконовым дренажом через контрапертуру справа.

Таким образом, удалось расширить анальный канал до возрастного размера с сохранением всех структур, по внешнему виду напоминавших зубчатую линию.

Течение послеоперационного периода осложнилось ликвореей. После длительного консервативного лечения ликворея купирована установкой системы наружного люмбального дренирования на 30-е послеоперационные сутки. На амбулаторном этапе выполнялось бужирование анального канала до расширителя Гегара № 19.

В возрасте 1 год 7 мес. пациент поступил для этапного хирургического лечения. Выполнено закрытие стомы. Послеоперационный период протекал гладко. На 8-е послеоперационные сутки ребенок выписан из стационара в удовлетворительном состоянии с основным диагнозом: «Врожденный стеноз анального канала в составе синдрома Куррарино, тератома пресакральной области; Мегаректум, хронический толстокишечный стаз; Аномалии развития позвонков и спинного мозга: гипоплазия крестца, аплазия копчика, переднее менингоцеле с множественными разнокалиберными кистами и стромальным компонентом».

По данным гистологического исследования морфологическая картина зрелой тератомы.

В послеоперационном периоде и по настоящее время отмечается стабильный самостоятельный стул по самостоятельному позыву на горшок. Каломазания между дефекациями не отмечается. Продолжительность катамнеза составила 1,5 года.

Клиническое наблюдение 2

Пациент Д., 4 года, мальчик, родившийся от 1-й беременности, 1-х срочных родов на 38-й неделе гестации. Вес при рождении 3050 гр. В период новорожденности осмотрен хирургом, заподозрена киста пресакральной области. Рекомендовано наблюдение. Рос и развивался в соответствии с возрастом. Отмечалось нарушение отхождения стула с формированием каловых завалов, разрешавшихся консервативным путем.

В возрасте 4 лет проведено МРТ органов малого таза. По данным исследования выявлены признаки объемного образования пресакрального пространства, явно компрометирующее ампулу прямой кишки в средней ее трети, с наличием осложненных и неосложненных кист, а также признаками копчикового свищевого хода, гипоплазией копчика (рис. 6).

Рисунок 6.

Объемное образование ректоректальной области и пресакральной области с наличием осложненных и неосложненных кист (МРТ органов малого таза)

Figure 6.

Bulky formation of the rectorectal region and the presarcic region, with the presence of complicated and uncomplicated cysts (MRI of the pelvic organs)

При поступлении обращала на себя внимание выраженная асимметрия складок крестцово-копчиковой области. По данным УЗИ брюшной полости, в малом тазу за мочевым пузырем и несколько слева визуализировалось кистозное многокамерное (?) образование размером около 20×17×20 мм, с небольшим количеством взвеси в просвете, аваскулярное при цветном доплеровском картировании (ЦДК).

После предоперационной подготовки выполнено иссечение кисты пресакральной области. Ребенок уложен на живот в положение для заднесагиттального доступа. Стеноза анального канала на уровне кожно-слизистого перехода не выявлено. Заднесагиттальным разрезом кожи послойно с техническими трудностями обнажена задняя стенка кисты. Киста относительно напряженная, расположена слева и кзади от прямой кишки. Преимущественно острым путем, биполярным коагулятором, выполнена мобилизация многокамерной кисты по задней и боковым стенкам. Далее кисты опорожнены. Из большей кисты выделилось до 5 мл густого гнойного отделяемого (взят посев) из второй кисты выделилось около 5 мл прозрачного содержимого без запаха. Далее выделение продолжено к верхнему полюсу и к передней стенке кишки. Удалось выделить оболочки кисты без повреждения задней стенки прямой кишки. Рана ушита, предварительно дренирована через контрапертуру силиконовым дренажом.

Посев отделяемого из раны роста не дал. Дренаж удален на 5-е послеоперационные сутки. Ребенок выписан домой на 7-е послеоперационные сутки с выздоровлением.

По данным гистологического исследования, морфологическая картина соответствует зрелой тератоме.

В отдаленном послеоперационном периоде стул нормализовался до 1–2 раза в сутки, каломазания нет. Длительность катамнестического наблюдения составила 6 мес.

Клиническое наблюдение 3

Девочка 14 лет поступила с диагнозом: «Киста пресакральной области с абсцедированием». В периоде новорожденности перенесла удаление тератомы крестцово-копчиковой области. Сразу после операции у ребенка появилось гноевидное отделяемое в околокопчиковой области, продолжавшееся до настоящего поступления в клинику. При осмотре в отделении: межъягодичная складка уплощена, деформирована за счет грубого поперечного гипертрофического рубца, в средней части которого имеется несколько небольших отверстий, болезненных при пальпации, с серозно-гнойным отделяемым в скудном количестве (рис. 7).

Рисунок 7.

Вид межъягодичной области при поступлении

Figure 7.

View of the inter-period area upon admission

Рисунок 8.

Пресакральное кистозное образование в послеоперационной области с наличием абсцесса в его структуре МРТ (магнитнорезонансная терапия)

Figure 8.

Presacral cystic formation in the postoperative area with the presence of an abscess in its structure MRI (magnetic resonance therapy)

По данным ультразвукового исследования мягких тканей, визуализация затруднена. По данным магнитно-резонансной компьютерной томографии, картина пресакрального кистозного образования в послеоперационной области с наличием абсцесса в его структуре и свищевых ходов, открывающихся в межъягодичную складку.

Выполнено иссечение пресакральной кисты с резекцией копчика, дренирование пресакрального пространства. Ребенок уложен в положение на животе для заднесагиттального доступа. Разрезом по межъягодичной складке с захватом имеющихся заранее прокрашенных бриллиантовой зеленью свищевых ходов послойно начато выделение конгломерата кист в пресакральном пространстве. Выполнена резекция двух последних позвонков, после чего кисты единым блоком выделены из значительных по массивности рубцовых тканей с контролем задней стенки прямой кишки, которую удалось сохранить в целостности. При выделении позади копчика одна из кист вскрылась, выделилось до 10 мл густого гноя с колибациллярным запахом (взят посев). Тем не менее кисты выделились из окружающих тканей единым блоком. Задняя стенка прямой кишки — без повреждений. В области резецированного копчика уложена пластина тахокомб. Далее получившееся пространство с явно несводимыми стенками дренировано силиконовым дренажом через контрапертуры по обеим сторонам кожного разреза для налаживания в последующем системы отрицательного давления. Далее выполнено послойное ушивание рассеченных мышц тазового дна. Рана послойно ушита наглухо (рис. 9).

Рисунок 9.

Вид послеоперационной раны

Figure 9.

Type of postoperative wound

Лечение послеоперационной раны проводили с использованием аппарата отрицательного давления, наложением вакуум-ассистированной повязки в течение 8 послеоперационных суток. После удаления дренажа отмечалось скудное серозное отделяемое из послеоперационной раны. Проводили физиотерапевтическое лечение послеоперационной раны с целью заживления послеоперационного шва — воздействие коротким ультрафиолетовым излучением и поляризованным светом.

По данным контрольного ультразвукового исследования, на 10-е послеоперационные сутки в крестцово-копчиковой области вдоль послеоперационного шва дополнительные образования достоверно не визуализировались. Ребенок выписан домой на 13-е послеоперационные сутки. В течение месяца после выписки отмечалось скудное серозное отделяемое через вторично заживающую часть послеоперационной раны. Через 3 месяца отмечается полное заживление раны, активных жалоб не предъявляет (рис. 10). Длительность катамнестического наблюдения составила 2 года.

Рисунок 10.

Вид послеоперационной раны через 3 месяца

Figure 10.

Type of postoperative wound in 3 months

Обсуждение

Кисты пресакральной области могут быть как изолированным проявлением порока развития, так и сочетаться с врожденной патологией аноректальной области и пороками развития дистальных отделов позвоночника и спинномозгового канала.

Выявление порока развития мягкой мозговой оболочки требует консультации нейрохирурга и первичного оперативного лечения в отделении нейрохирургического профиля для уменьшения риска повреждения спинномозгового канала [4][11].

В отдаленном послеоперационном периоде в литературе достаточно часто описываются случаи повторного роста крестцово-копчиковых образований, сопровождаемых малигнизацией тератом, требующих повторных оперативных вмешательств и проведения полихимиотерапии. Наблюдение врачами-онкологами является необходимым условием при оперативном лечении тератом.

Клиника заболевания при повторном росте крестцово-копчиковых образований сопровождается рецидивирующей низкой кишечной непроходимостью, выявлением опухоли малого таза, сдавливающей прямую кишку, что приводит к запорам и дизурическим явлениям [4][12][13]. Максимально отдаленный период наблюдения за детьми в послеоперационном периоде по данным источников литературы составил 6 лет. В нашем случае в клинику поступила девочка в возрасте 14 лет с постоянным гноевидным отделяемым в околокопчиковой области, причиной явился рецидив тератомы крестцово-копчиковой области.

За последнее десятилетие отмечен широкий интерес к лечению острых и хронических ран отрицательным давлением (NPWT). Принцип работы метода основан на использовании закрытой дренажной системы, поддерживающей контролируемое отрицательное давление в области раны. В результате этого в зоне повреждения создаются благоприятные условия течения раневого процесса, способствующие скорейшему очищению раневого ложа, созреванию «здоровых» грануляций с последующим их закрытием местными тканями, кожными лоскутами или трансплантатами [8][14]. Использование аппарата отрицательного давления способствовало скорейшему заживлению, несмотря на имеющуюся интраоперационно неустранимую остаточную полость.

Заключение

Наличие явных признаков малых пороков развития межъягодичной области, как асимметрия различного характера втяжения, требуют дополнительного внимания. Консультация детского хирурга, пальцевое ректальное исследование, а также ультразвуковое исследование межъягодичной области позволит предположить имеющееся образование пресакральной области и поставить показания к проведению МРТ крестцово-копчиковой области и малого таза, так как пресакральные образования могут комбинироваться со спинномозговыми аномалиями дистальных отделов спинного мозга, а в послеоперационном периоде осложняться рецидивным гнойно-воспалительным процессом.

Дети, перенесшие в период новорожденности удаление крестцово-копчиковой тератомы, требуют диспансерного наблюдения врачами детскими хирургами, онкологами, по показаниям — нейрохирургами с инструментальным катамнестическим дообследованием.

Лечение рецидивов тератомы крестцово-копчиковой области у детей старшего возраста сопряжено с риском повреждения прямой кишки и других органов и диафрагмы таза, что требует тщательного предоперационного планирования.

Заднесагиттальный доступ является наиболее удачным для хирургического лечения кист пресакральной области, тем более сочетанных с аноректальными пороками развития.

Список литературы

1. Неонатология: национальное руководство: в 2 т. / под ред. Н.Н. Володина, Д.Н. Дегтярева. 2-е изд., перераб. и доп. Москва: ГЭОТАР-Медиа, 2023;486– 498. ISBN 978-5-9704-7829-5. doi: 10.33029/9704-7829-5-NNG-2023-1-768.

2. Lakhoo K. Neonatal teratomas. Early Hum. Dev. 2010. Oct. 86(10):643–647.

3. Саввина В.А., Тарасов А.Ю., Николаев В.Н. Отдаленные результаты лечения новорожденных с тератомами крестцово-копчиковой области. Российский вестник детской хирургии, анестезиологии и реаниматологии. 2016;6(4):63–66. EDN ZBIQNB.

4. Ашкрафт К.У., Холдер Т.М. Детская хирургия. СПб.: ООО «Раритет-М», 1999;3(68. Тератомы):193–208.

5. Гопиенко М.А., Караваева С.А., Силков В.Б., Усков О.И., Мягкова И.Е., Белогурова М.Б. Тератомы крестцово-копчиковой области у новорожденных: особенности диагностики и лечения опухолей малых размеров. Российский вестник детской хирургии, анестезиологии и реаниматологии. 2020;10(1): 43–52. doi: 10.17816/psaic605.

6. Клиническая хирургия. В 3 т. Том 2 / Под ред. В.С. Савельева, А.И. Кириенко. Москва : ГЭОТАР-Медиа, 2013;832 с. (Серия «Национальные руководства») ISBN 978-5-9704-2572-5. https://library.mededtech.ru/rest/documents/ISBN9785970425725/?anchor=paragraph_6cd3kd#paragraph_6cd3kd

7. Морозов Д.А., Пименова Е.С., Зюзько Д.Д., Саакян М.С. Синдром Куррарино у детей. Педиатрия. 2019;98(2):198–203. doi: 10.24110/0031-403X-2019-98-2-198-20.

8. Морозов Д.А. Синдром currarino: клинические наблюдения двух новорожденных / Д.А. Морозов, А.С. Никитина. Колопроктология. 2006;4(18):35–36.

9. Морозов Д.А., Пименова Е.С., Горемыкин И.В., Филиппов Ю.В., Городков С.Ю., Антонов М.А., Чухрова Н.С. Организация хирургической помощи новорожденным (результаты и пример региональной модели). Детская хирургия. 2015;19(4):36–41.

10. Ольхова Е.Б., Соколов Ю.Ю., Глизнуцин О.Е., Кузнецов Е.В., Карцева Е.В., Кирсанова А.С. Ультразвуковая диагностика синдрома Куррарино у детей раннего возраста. Детская хирургия. 2015;19(3):48–55.

11. Кучеров Ю.И., Жиркова Ю.В., Шарков С.М., Рехвиашвили М.Г., Шишкина Т.Н., Фролова К.А. Результаты лечения тератом различной локализации. Детская хирургия. 2016;20(3):130–134. doi: 10.18821/1560-9510-2016-20-3-130-134.

12. Будкевич Л.И., Сошкина В.В., Астамирова Т.С. Применение вакуум-терапии в педиатрической практике. Хирургия. Журнал им. Н.И. Пирогова. 2012;(5):6771.

13. Bartels S.A., van Koperen P.J., van der Steeg A.F., Deurloo E.E., Bemelman W.A., Heij H.A. Presacral masses in children: presentation, aetiology and risk of malignancy. Colorect Dis. 2011;13(8):930–934.

14. Тишкин Г.В. Использование вакуум-терапии для лечения сложных ран у детей / Г. В. Тишкин, А. А. Гусев, Е. Ю. Дьяконова. Российский педиатрический журнал. 2023;26(S3):60–61. EDN BKPUYG.


Об авторах

А. А. Щукина
ФГАУ «Национальный медицинский исследовательский центр здоровья детей» Министерства здравоохранения Российской Федерации
Россия


Е. А. Окулов
ФГАУ «Национальный медицинский исследовательский центр здоровья детей» Министерства здравоохранения Российской Федерации
Россия


Е. Ю. Дьяконова
ФГАУ «Национальный медицинский исследовательский центр здоровья детей» Министерства здравоохранения Российской Федерации
Россия


А. А. Гусев
ФГАУ «Национальный медицинский исследовательский центр здоровья детей» Министерства здравоохранения Российской Федерации
Россия


А. С. Бекин
ФГАУ «Национальный медицинский исследовательский центр здоровья детей» Министерства здравоохранения Российской Федерации
Россия


А. В. Доценко
ФГАУ «Национальный медицинский исследовательский центр здоровья детей» Министерства здравоохранения Российской Федерации
Россия


Рецензия

Для цитирования:


Щукина А.А., Окулов Е.А., Дьяконова Е.Ю., Гусев А.А., Бекин А.С., Доценко А.В. Хирургическое лечение кистозных образований крестцово-копчиковой области у детей: клинические наблюдения. Архив педиатрии и детской хирургии. 2025;3(1):77-85. https://doi.org/10.31146/2949-4664-apps-3-1-76-84

For citation:


Shchukina A.A., Okulov E.A., Diakonova E.Yu., Gusev A.A., Bekin A.S., Dotsenko A.V. Surgical treatment of cystic formations of the sacrococcygeal region in children: Clinical cases. Archives of Pediatrics and Pediatric Surgery. 2025;3(1):77-85. (In Russ.) https://doi.org/10.31146/2949-4664-apps-3-1-76-84

Просмотров: 148

JATS XML


Creative Commons License
Контент доступен под лицензией Creative Commons Attribution 4.0 License.


ISSN 2949-4664 (Print)
ISSN 3033-6783 (Online)